Diagnóstico Diferencial del Tendón de Aquiles por Peter Malliaras y Carly Johnson

10 minutos. Publicado en Tendón
Escrito por Dr. Peter Malliaras info

Physio Network se enorgullece de agregar este blog escrito por el experto en tendones, Peter Malliaras, a nuestro hall de la fama. Muchos saltan directamente a un diagnóstico de tendinopatía, pero aquí Peter y Carly consideran qué otras posibilidades son posibles.

En las últimas semanas, la fisioterapeuta Carly Johnson trabajó junto a mí en la clínica en su master para la Universidad de La Trobe, Melbourne, Australia. Esto me ha hecho comprender cuántos tendones interesantes/atípicos veo, así que decidimos escribir hechos interesantes sobre el tendón de Aquiles. Veo unos 5-10 nuevos tendones de Aquiles por semana, > 300 al año. Estimo que el 60% son problemas ‘aburridos’ en la región media o en los tendones de inserción, pero algunos son más interesantes.

Este blog destaca los signos y síntomas de diagnósticos diferenciales comunes en el tendón de Aquiles, y de qué manera pueden ayudar las imágenes por ultrasonido. Realizo una ecografía de cada uno de los tendones de Aquiles que aparecen, y me esto ha enseñado mucho sobre cómo interactúan la patología y los síntomas. El ultrasonido nunca puede HACER un diagnóstico, pero es excelente para CONFIRMAR muchas condiciones que se presentan de manera similar a la tendinitis de Aquiles.

A menudo veo un tratamiento erróneo en las lesiones en el tendón de Aquiles, y el diagnóstico incorrecto explica una cantidad considerable de éstos casos, por lo que es importante obtener el diagnóstico correcto.

Obviamente hay muchos otros diagnósticos que no han llegado al blog, como irritación del nervio sural, apofisitis, lesión del tendón del músculo soleo distal, rotura de la fascia crural, derivación somática o radicular de la columna lumbar, etc.

TENDINOPATIA DE LA PORCION MEDIA

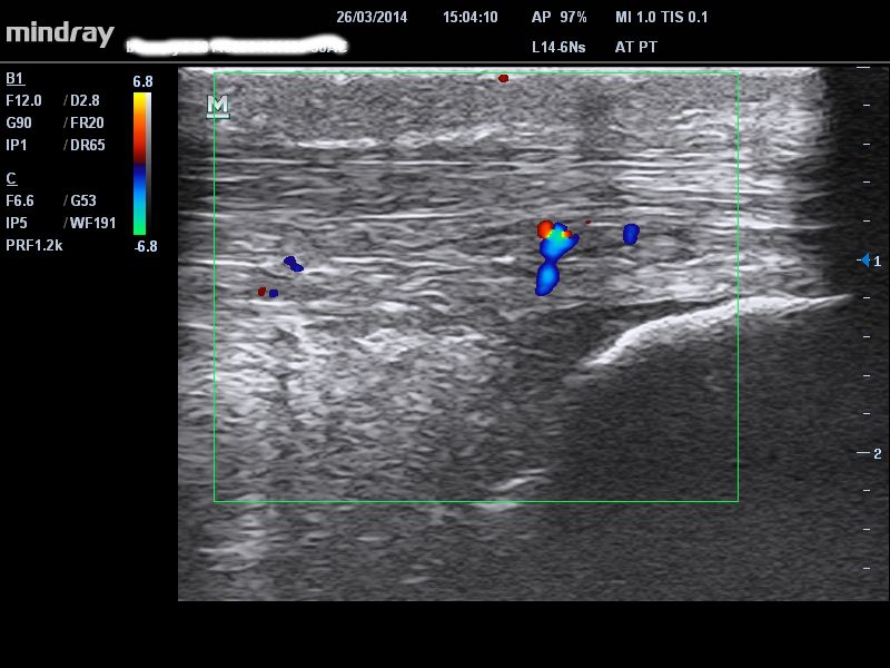
Los síntomas típicos de esta condición incluyen dolor localizado del tendón de Aquiles que se “calienta” con la actividad. El dolor suele empeorar por la mañana, pero mejora después de 5-10 minutos. Por lo general, existe un historial de sobrecarga en la actividad del ciclo de estiramiento y acortamiento, como caminar o correr. Una prueba útil es la sensibilidad a la palpación en una posición estirada frente a una posición relajada (London Hospital Test). Si el tendón duele más en una posición relajada, es más probable que sufra dolor en los tendones que en los tejidos circundantes, por ejemplo: bolsa de grasa, bursa. Las imágenes en realidad no ayudan a confirmar un diagnóstico, pero pueden ser útiles para identificar el alcance de la patología – nuestro paciente presentó cambios ‘degenerativos’ menores difusos con señal Doppler, pero con dolor en la parte media. En este caso, debería tener cuidado con la carga en el rango final, aunque sus síntomas sean de proporciones medias, según el hallazgo de alguna patología de inserción baja de la porción media.

single-image

1 – patología de la porción media y de la baja porción media (cerca de la inserción) y señal de Doppler difusas

TENDINITIS DE LA INSERCIÓN

La principal diferencia en la tendinopatía de inserción es el sitio del dolor en la inserción distal del tendón de Aquiles ya sea alta (tuberosidad del calcáneo superior) o baja en el calcáneo distal. Hay un patrón similar en el comportamiento del dolor/rigidez matutina y en el ‘calentamiento’ en la tendinopatía de la porción media. El dolor de inserción alto debe diferenciarse de una bursitis retrocalcánea mientras que el dolor de inserción bajo suele ser del tendón. En la ecografía puede haber un espolón de tracción asociado con la inserción baja, pero esto no es necesariamente sintomático – ver espolón de tracción en la figura a continuación.

single-image

2 – patología del tendón de inserción alta con señal Doppler

single-image

3 – patología del tendón de inserción baja con señal Doppler y espolón de tracción

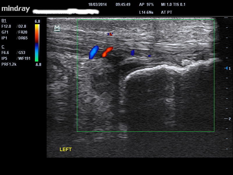
BURSITIS RETROCALCÁNEA

La bursitis retrocalcánea puede presentarse con síntomas que se ubican exactamente en el mismo lugar que la tendinopatía inserciones, pero pueden ser más difusos. Una de las claves para diferenciarlos es el dolor irritable y los síntomas en actividades de baja carga, tales como las elevaciones de talones o la compresión al final del rango de movimiento en la dorsiflexión.

Estos síntomas también presentarse en la tendinopatía por inserción, si es reactiva o irritable es donde el ultrasonido es muy útil. La palpación diferencial de los dos tejidos también puede ser muy útil. Si hay una gran cantidad de líquido o engrosamiento de la bursa en las imágenes, es muy probable que sea un generador de dolor y deba tratarse. Por el contrario, en poblaciones activas un poco de líquido en las imágenes es normal. Nuestro paciente en la imagen a continuación tenía patologías de inserción del tendón de Aquiles y bursa, y síntomas típicos de la bursa, incluso dolorosos en actividades de baja carga y estiramiento. Entonces, tratar la bursitis es una prioridad más allá del tendón. Esta señora había sido diagnosticada y tratada erróneamente dado que la lesión del tendón y la bursitis eran el factor limitante.

single-image

4 – patología del tendón de inserción alto con líquido de bursa retrocalcánea

PARATENDÓN

La inflamación del paratendón a menudo se presenta con un dolor reactivo o irritable que se inflama por días después de la actividad y también puede ser doloroso en actividades de baja carga, como elevaciones de pantorrillas. Nuestro paciente, de la imagen a continuación, reportó dolor que se inflamó durante tres días después de un paseo en bicicleta– definitivamente no es una actividad de ciclo de acortamiento/ estiramiento de tendón alto, por lo que se sospecha una patología inflamatoria/ compresiva. Puede ver una gran acumulación de líquido en el paratendón lateral en la imagen. En la evaluación, la prueba de London Hospital fue negativa; el dolor no se modificó con la palpación del tendón en una posición relajada y estirada. A menudo, el paciente localizará en el lado medial o lateral del tendón de Aquiles, que de nuevo no es típico de la tendinopatía de la porción media. Cuando se localiza en el lado medial, debe existir cierta sospecha del musculo plantar delgado (ver más abajo). La ecografía es excelente para obtener imágenes y comparar la anormalidad del tendón plantar en con el líquido del paratendón y la porción media del tendón de Aquiles – pero, por supuesto, deben estar unidos a síntomas clínicos.

single-image

5 – gran acumulación de líquido alrededor del paratenón/paratendón lateral

TENDÓN DEL MUSCULO PLANTAR

Puede manifestarse como dolor en el tendón plantar, o irritación / compresión del tendón medio de Aquiles desde tendón del plantar. El dolor en el tendón plantar no es común – vea un ejemplo de patología plantar insercional en uno de mis pacientes (Figura 6) – él señaló que el dolor se ubicaba en un lugar muy específico en la inserción medial de Aquiles, inyectamos solución salina de alto volumen y nunca regresó, a pesar de estar 2 años en competición de 400 metros. Los problemas más comunes del musculo plantar implican la compresión del tendón de Aquiles. Pueden ser síntomas típicos del tendón de Aquiles, pero es más probable que se trate de un dolor medialmente localizado y una patología de Aquiles medialmente localizada. Los síntomas pueden aparecer al final del rango de dorsiflexión debido a la compresión del tendón. Puede asociarse con una mayor pronación del pie en su función.

single-image

6 – tendón plantar hipoecoico y aumentado de volumen vista medial al talón de Aquiles en el calcáneo superior

DESGARRO PARCIAL

Es necesario que presente los signos de diagnóstico claves para una rotura parcial– 1) un incidente definido que puedan recordar (¡y describir con precisión hasta el último detalle!); 2) dolor agudo/cambio definido en el dolor después del incidente; 3) pérdida aguda y mayor de fuerza, relacionada con la inhibición del dolor, este es un cambio importante en el dolor y la función que PODRÁ identificar a un kilómetro de distancia de una tendinopatía. La ecografía a menudo muestra lo que a veces se conoce como delaminación de la bolsa de grasa y el tendón, con una región hipo- o anecoica definida– es decir, un agujero negro, que es continuo en la periferia del tendón.

single-image

7 – región hipo/anecoica muy localizada en un paciente que presenta signos/síntomas de un desgarro

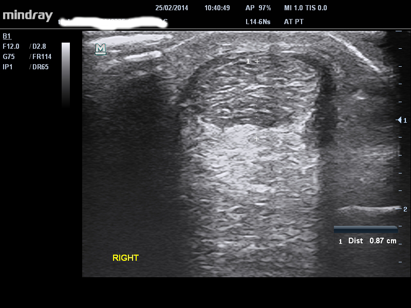
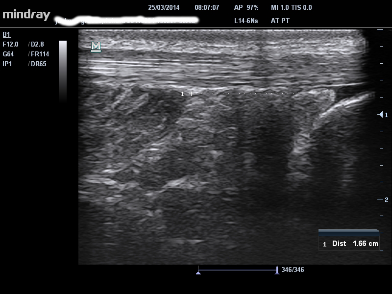
SÓLEO ACCESORIO

El músculo soleo accesorio es muy raro. He visto 4-5 en diez años. Por lo general, se presenta con dolor alrededor del tendón de Aquiles, pero en una inspección más cercana es más profundo al tendón de Aquiles. Hay un bulto muscular obvio de profundidad muy baja en el tendón de Aquiles tanto en el lado medial como en el lateral y con frecuencia es sensible a la palpación. El principal signo de diagnóstico diferencial es que el dolor empeora con la actividad y no se calienta con la actividad, similar al síndrome compartimental. El ultrasonido es muy útil para confirmar que hay un sóleo bajo (o accesorio). Nuestro paciente en la imagen de abajo tenía un sóleo distal a una longitud superior de 1.6 cm del calcáneo, mientras que la mayoría de las personas tiene al menos 3-4 cm. Este hombre había sido diagnosticado erróneamente y ¡le aplicaron 2 inyecciones de PRP a un tendón normal! Se dice que un verdadero sóleo accesorio se inserta en el calcáneo– nunca lo he visto. Entonces, tal vez la variante más común que he descrito aquí debería llamarse ‘sóleo bajo’.

single-image

8 – distancia de 1.66 cm entre el sóleo distal y el calcáneo proximal en un paciente con sóleo accesorio sintomático

ALMOHADILLA O BOLSA DE GRASA

La almohadilla de grasa puede producir síntomas en forma aislada, comúnmente por compresión en la dorsiflexión, a menudo cuando hay un tendón con un aumento de volumen asintomático pero asociado, tendón accesorio/sóleo bajo o tendón plantar anormal. Por lo general, la bolsa adiposa alrededor de la porción proximal/media del tendón de Aquiles está afectada, en lugar de estarlo más distalmente. El dolor puede ser difuso, medial y lateral o medial solamente. El diagnóstico siempre es clínico y se basa en la palpación diferencial de la almohadilla de grasa y del tendón: ¡simple pero frecuentemente olvidado! Además, la almohadilla de grasa puede que se caliente menos y estar más irritable. La ecografía a veces da señal Doppler principalmente en la almohadilla de grasa, como se ve a continuación, pero este signo no aparece de forma consistente.

single-image

Figura 9 – Señal Doppler en la almohadilla de grasa, pero con un tejido graso predominantemente más profundo en pacientes con síntomas de almohadilla de grasa.

Espero que hayas disfrutado

Te deseo lo mejor.

Peter Malliaras & Carly Johnson

📚 Mantente a la vanguardia de la investigación en fisioterapia

Cada mes, nuestro equipo de expertos resume las investigaciones más relevantes en artículos de cinco minutos que puedes aplicar inmediatamente en la clínica.

Accede a nuestras revisiones de investigación de forma gratuita durante 7 días.

preview image

No olvides compartir este apasionante blog

Déjanos un comentario

Si tienes una pregunta, sugerencia o enlace de alguna investigación relacionada, ¡compártelo a continuación!

Debes estar conectado para publicar o dar like a un comentario.

Recibe actualizaciones cuando publiquemos nuevos blogs

¡Suscríbete a nuestro newsleter ahora!

By entering your email, you agree to receive emails from Physio Network who will send emails according to their privacy policy.